Skip to content

Archives

  • januar 2022
  • december 2021
  • november 2021
  • oktober 2021
  • september 2021

Categories

  • Ingen kategorier
Trend RepositoryArticles and guides
Articles

Boxerfraktur

On december 14, 2021 by admin

Dette brud i hånden skyldes ofte, at man slår på noget med en lukket knytnæve, deraf navnet Boxerfraktur. Det ses ofte hos teenagere. Bruddet heler typisk inden for 3 til 4 uger fra skadedatoen.

  • Symptomer
  • Diagnosticering af bruddet
  • Behandling
  • Når du skal ringe til klinikken
  • Klinikkens kontaktoplysninger:

Symptomer

Når en Boxer’s Fracture opstår, er der som regel:

  • Brud
  • Svulmer
  • Mindre bevægelse af hånd eller fingre
  • Smerter ved bevægelse af hånd og fingre

Diagnosticering af bruddet

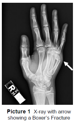
Der tages røntgenbilleder af hånden for at se, om der er tale om et brud. En boxerfraktur er en lillefingermetacarpalhalsfraktur (billede 1).

Behandling

Denne fraktur er en stabil skade. Vi forventer ikke, at den forværres. Den behandles sikkert med hånden i en velcrobøjle (billede 2). Skinnebøjlen sættes på hånden for at hjælpe med at holde knoglen beskyttet og holde håndleddet og fingrene i ro, mens knoglen heler.

Dit barn skal bære velcroskinnebøjlen i 3 uger fra det tidspunkt, hvor det bliver set i klinikken.

  • Bøjlen skal kun tages af for at tage brusebad, bad eller anden hygiejne og derefter mindst en gang dagligt for at kontrollere huden for irritation eller rødme.
  • Hold altid bøjlen ren og tør.
  • Dit barn kan deltage i sport, gymnastik og andre fysiske aktiviteter, mens det bærer velcrobøjlen. 3 uger efter kan dit barn vænne sig ud af bøjlen, når der ikke længere er smerter, hvis der trykkes på området over mellemgulvet. Der er ikke behov for nogen formel opfølgning.

Efter 3 uger kan dit barn vænne sig fra bøjlen, når der ikke længere er nogen smerter, hvis der trykkes på området over metacarpalhalsen. Der er ikke behov for nogen formel opfølgning.

  • Dit barn kan have en vis stivhed og svaghed i håndleddet eller fingrene i 1 til 2 uger efter fjernelse af bøjlen. Hvis disse symptomer fortsætter efter 2 uger, skal du ringe til den ortopædkirurgiske klinik.
  • Der kan være en lille forskel på, hvordan dit barns knokkel ser ud på den skadede hånd. Du kan måske endda bemærke en bule på bagsiden af hånden. Disse forskelle bør ikke begrænse håndens bevægelighed.

Når du skal ringe til klinikken

Ringe til den ortopædkirurgiske klinik, hvis:

  • Dit barn har følelsesløse eller prikkende fingre.
  • Dit barns fingre er blåviolette i farven.
  • Fingrene føles kolde og bliver ikke bedre, når hånden løftes.
  • Der er mere end en lille hævelse med ubehag.
  • Dit barn har ekstreme smerter, når du bevæger fingrene.
  • Dit barn har ikke fuld bevægelighed efter de 3 ugers behandling.

Klinikkens kontaktoplysninger:

Klinikkens åbningstider er mandag til fredag fra kl. 8.00 til 16.30. Telefonnummeret er 614-722-5175. Spørg efter sygeplejersken for at drøfte eventuelle symptomer.

Aftener, weekender og helligdage telefon 614-722-2000. Spørg efter den ortopædkirurgiske læge på vagt for at drøfte eventuelle symptomer.

Boxers Fracture (PDF)

Skriv et svar Annuller svar

Din e-mailadresse vil ikke blive publiceret. Krævede felter er markeret med *

Arkiver

  • januar 2022
  • december 2021
  • november 2021
  • oktober 2021
  • september 2021

Meta

  • Log ind
  • Indlægsfeed
  • Kommentarfeed
  • WordPress.org
  • DeutschDeutsch
  • NederlandsNederlands
  • SvenskaSvenska
  • DanskDansk
  • EspañolEspañol
  • FrançaisFrançais
  • PortuguêsPortuguês
  • ItalianoItaliano
  • RomânăRomână
  • PolskiPolski
  • ČeštinaČeština
  • MagyarMagyar
  • SuomiSuomi
  • 日本語日本語

Copyright Trend Repository 2022 | Theme by ThemeinProgress | Proudly powered by WordPress