咬合不安定を自覚していない歯科患者の治療法
On 11月 11, 2021 by adminDr. Ryan Springerは難しいケースを治療しますが、患者が自分のケースが実際にどれほど難しいかを知らない場合、その難易度は高まります。 長い歯科治療歴を持ち、上顎前歯の欠けを主訴とする患者、ダレンが登場します。 Dr. Springerは、患者が機能や咬合に関する問題を抱えていることに気づいていない場合、どのように咬合不安定を診断し、複雑なケースを適切に治療計画するかについて説明します。
編集者注:この記事は、歯科医師のために作成された臨床専門ニュースレター「Breakthrough Clinical」に最初に掲載されたものです。 ニュースレターアーカイブを閲覧して詳細を確認し、こちらから購読してください。
IN EARLY 2017、ある患者(彼をダレンと呼ぶことにします)が、地元の別の歯科医から私のところに紹介されました。 紹介元の歯科医師は、ダレンの症例は自分にとって複雑すぎる、患者の問題をどのように治療したらよいかわからないと私に話してくれました。 その歯科医は、患者の歯を正しく修復しなければ、修復物が期待通りに長持ちしないことを心配していました。
ドーソンアカデミーのカリキュラムを修了した歯科医として、私は複雑な症例の治療で地元で評判を築いてきました。
ダレンは長い歯歴を持っていましたが、上顎前歯の欠けが主訴でした。 彼の主な目標は、できるだけ長く自分の歯を保つことであり、その目標を達成するために必要なことは何でもするつもりでした。
紹介した歯科医と同様に、ダレンも何かがおかしいとは思っていましたが、問題の程度は分かっていませんでした。 この時点まで、Darrenは機能的な問題や咬合的な問題について知らされていませんでした。
患者さんの病歴を調べる
私がこのケースを受け入れるとすぐに、ダレンは私のオフィスにやってきて、新患の完全な検査を行いました。 私の診療所では、新患の検査は次のような内容で行われます。
- 前臨床面接により、患者の病歴、歯歴、機能的または審美的目標を把握する
- 適切なX線写真、修復物チャート、歯周検査、口腔がんスクリーニングにより、細菌リスクまたは病理を確認する
- 顎関節、咀嚼筋、歯科の検査により顎システムのあらゆる機能不調和を評価する。 チャートには、可動域、遠心関係荷重試験、顎関節ドップラー聴診、筋触診、遊離干渉、遠心関係における最初の接触点、CR/MIスライドの範囲(遠心関係から最大遊離角までのズレ)、歯列の摩耗、可動性、移動の評価などが含まれる。
- Diagnosing and addressing potential airway issues
前臨床面接から、ダレンは高校時代に「オーバーバイトを直す」ために上顎弓のみ矯正を完了し、これまでに作製したクラウンの大半は過去の歯の破折によるものであることが分かった。 彼は月に2、3回頭痛がすると報告し、特にストレスを感じたときに、一日中歯と戯れて食いしばることがよくあると述べました。
精密検査の結果を評価した後、フェイスボー搭載の模型と完全写真シリーズを含む完全記録を入手しました。 私たちは、ダレンの時間と経済的な制約を考慮して、治療計画の立案を開始しました。
結果のまとめと治療計画
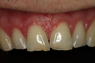
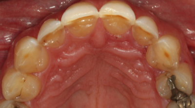
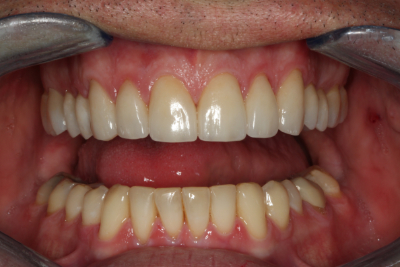
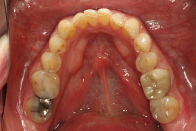
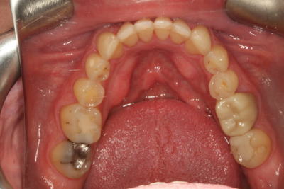
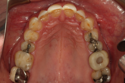
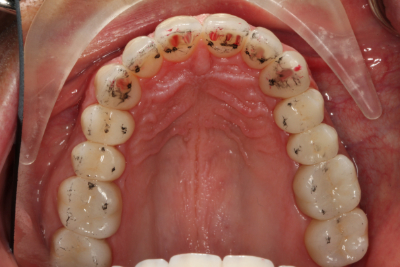
二次元評価から、咬合不安定性の徴候は明らかでした。 ダレンは、切歯縁が非常に薄く、欠け、透明になりつつあるほどでした。 上顎前歯の舌側にはほとんど棚が装着されており、機能的な包絡線が制限されていることが示唆されました。 また、前歯だけでなく後歯にも象牙質への摩耗があり、前歯はクラス1の可動性を持っていました。


さらに、DarrenはThe Dawson Academyの咬合安定性の5要件に不合格であった。
- 中心的関係にあるすべての歯に安定した同じ強さのストップがあること
- 機能の包絡線と調和した前方誘導
- すべての後歯は下顎前突時に不同となること movement
- All posterior teeth disclude on nonworking side during mandibular lateral movement
- All posterior teeth disclude on working side during mandibular lateral movement
LUCKY.LUCKY.LUCKY.LUCKY.LUCKY.LUCKY.LUCKY.LUCKY.LUCKY.LUCKY.LUCKY, この患者はPiper TMJ Classification 1で、健康な無傷の関節アセンブリでした。 彼の機能的な問題は主に咬合筋でした。 しかし、歯列は胃食道逆流症(GERD)を示唆するプレゼンテーションで酸腐食の兆候を示したので、我々はダレンを主治医に紹介し、歯科治療を始める前にGERDの治療を受けました。
審美的には、彼の上顎切歯縁はわずかに垂直方向に欠損しており長さを伸ばす必要がありました。 ダレンは咬合平面がわずかにカントしていましたが、本人はその矯正には興味がありませんでした。 下顎切歯面やアーチフォームも改善が必要でした。
私たちの二次元評価により、マウントされた模型に診断用ワックスアップを行い、三次元治療計画を作成することができました。
私たちは、写真と模型を使って、ダレンの所見を確認し、彼の状態を正常とされるものと比較しました。 可能性のあるすべての治療計画の議論に患者さんが参加することは、すべての治療勧告のタイミングと財政的な投資とともに重要です。
治療計画の実施
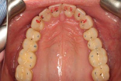
私たちの目標は常に、可能な限り最高の機能的結果を達成し、患者の目標を満たすために必要な最小限の歯科治療を行うことであるべきです。 ダレンは伝統的な歯科矯正に興味がなかったので、私たちは彼の機能の包囲の自由度を増加させ、前歯部咬合関係を改善するためにクリアアライナー療法から開始することを選択しました
歯科矯正はまた、歯の準備でより保守的にすることができました。 上顎切歯の舌側には、すでにかなりの歯質が磨耗していたため、削らなければならない歯質の量を最小限にしたかったのです。 また、矯正歯科では、前方誘導のために必要な下顎前歯の前処置や間接補綴を避けることができます。
矯正治療後、私たちは間接修復のために上顎弓を準備し、ダレンに仮の修復物を装着しました。 また、下顎切歯縁をダイレクトコンポジットで修復し、露出した象牙質を封鎖し、診断用ワックスアップから製作した熱可塑性ステントを用いて切歯面を整えました。 ステントを使用して切縁にダイレクトコンポジットを装着することで、時間を節約し、切縁の位置をより正確にすることができました。 その後、ダレンは歯周病専門医に送られ、歯肉の構造を修正しました。
ダレンは、軟組織が完全に治癒するのを待つために、3ヶ月間プロビジョナルを装着したままにしました。 これにより、審美性、音声学、咬合、および機能を評価することもできました。

このケースでは、患者の機能包絡線と調和するように前方誘導を工夫しなければならなかったので、プロビジョナルは特に重要なものでした。 プロビジョナルレストレーションを装着した当初、ダレンは犬歯の位置と輪郭に「固定されている」と感じ続けていました。
Finalizing a case, conservatively
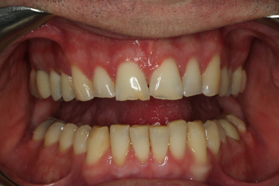
Esthetics, phonetics, and functionを確認した後、最終的な修復を行う準備が整いました。 プロビジョナルレストレーションの写真と印象がラボに渡され、プロビジョナル段階で調整した審美性と咬合を複製し、Darrenの最終修復物に情報を伝達しました。 納品日までに、すでに機能的な問題を診断・治療し、プロビジョナルで治療計画を検証しています。
私たちの目標のひとつは、下顎前歯の準備をせずに、適切な前歯部誘導を達成することでした。 幸いなことに、矯正とダイレクトボンディングの組み合わせで十分すぎるほどの結果が得られたので、今回は下顎弓の修復を見送ることができました。 繰り返しになりますが、私たちの目標は、可能な限り最良の結果を得るために、最小限の歯科治療を行うことです。 時には、包括的な歯科治療を行うために、かなりの量の治療を行うこともありますが、できるだけ多くの歯質を保存するために、保守的であることに挑戦することが重要なのです。




まとめ
The Dawson Academyの治療計画プロトコルに従い、それぞれのケースは4回完成します:最初は頭の中で、次はモデル上のワックス、次はプロビジョナル、最後は陶器にします。 このプロセスにより、2次元および3次元の評価から、ラボでの診断用ワックスアップ、プロビジョナル、そして最終的な修復物まで一貫して行うことができます。
このプロセスは、複雑なケースを単純化するだけでなく、エラーをなくし、治療の予測可能性を高めます。 さらに、ダレンのような患者が診断と治療のプロセスをたどることができ、自分の歯のニーズを理解し、自分の治療をコントロールしているように感じることができます。
ダレンとの協力により、咬合安定の5つの要件を得るために必要な治療を提供することができました。 現在、彼はすべての歯で安定したストップ、機能の包絡線と調和した前方誘導、前歯が突出した場合の即時後方排除、および作業側と平衡側の突出の干渉をもはや持っていない。


全体として、このケースでは、正しい診断と計画により私たちの治療計画の設計図に従っています。


編集者注:この記事は歯科医師のために作られた臨床専門ニュースレター「ブレイクスルー クリニカル」に最初に掲載されたものです。 また、このような場合にも、「痒いところに手が届く」「痒いところに手が届く」「痒いところに手が届く」「痒いところに手が届く」「痒いところに手が届く」「痒いところに手が届く」「痒いところに手が届く」「痒いところに手が届く」「痒いところに手が届く」「痒いところに手が届く」「痒いところに手が届く」…………………………………….. そのため、このような事態が発生する可能性があります。 また、「湘南美容外科」「湘南美容外科」「湘南美容外科」「湘南美容外科」「湘南美容外科」「湘南美容外科」「湘南美容外科」「湘南美容外科」「湘南美容外科」「湘南美容外科」「湘南美容外科」は、それぞれ「アメリカ歯科協会」「アメリカ美容歯科学会」「シカゴ歯科協会」「インディアナ歯科学会」「インディアナポリス地区歯科学会」に属している。 彼は口腔顎顔面外科医歯科インプラント賞とオッセオインテグレーションインプラント歯科賞のアカデミーのアメリカ協会を受賞しています。
コメントを残す