Un endodontiste répond à 8 questions que les médecins généralistes posent sur le traitement de canal
On novembre 3, 2021 by adminCet article a d’abord été publié dans le bulletin d’information, DE’s Breakthrough Clinical avec Stacey Simmons, DDS. Abonnez-vous ici.
Je crois que les canaux radiculaires resteront une option viable pour restaurer la dentition qui a une structure dentaire saine, malgré le paysage changeant des soins dentaires cliniques qui cherchent à se concentrer sur la dentisterie implantaire. Tant qu’il y aura des soins dentaires, il y aura un besoin de traitement de canal. En raison des contraintes de temps et de la complexité de ces procédures, de nombreux médecins généralistes confient leurs traitements de canal à leurs collègues spécialistes ou font venir un endodontiste à leur cabinet. Alors que la dentisterie continue d’évoluer avec des optiques et des matériaux avancés, il en va de même pour le domaine de l’endodontie.
LECTURE SUPPLÉMENTAIRE |Oops ! Mishaps et directives de prévention pour vos procédures d’endodontie

Moji Bagheri, DMD
J’ai parlé avec Moji Bagheri, DMD, un endodontiste qui exerce en Californie du Sud, pour avoir un aperçu supplémentaire du monde dynamique de l’endodontie et pour obtenir ses réponses à huit questions que les médecins généralistes posent sur le traitement de canal. Voici ses réflexions.
1. Quel est l’antibiotique le plus courant que vous prescrivez et pourquoi ?
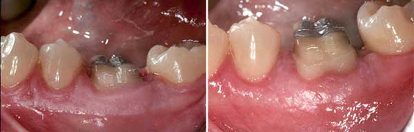
Mon premier choix d’antibiotiques est l’amoxicilline – c’est-à-dire s’il n’y a pas de contre-indications, comme des allergies (figure 1). En raison de son large spectre, elle est efficace contre les bactéries envahissant le canal radiculaire et les infections polymicrobiennes. Le métronidazole est ajouté au régime si l’amoxicilline est inefficace après 48-72 heures. Cette combinaison, d’après les études qui ont été faites, (1) a une efficacité de 99%. En cas d’allergie à la pénicilline, je prescris de la clindamycine.

Figure 1
LECTURE SUPPLÉMENTAIRE | Le mythe des canaux radiculaires « faciles » en endodontie
2. Quels sont les analgésiques courants que vous prescrivez après une endodontie et pourquoi ?
Je prescris des AINS, comme l’ibuprofène à forte dose, après tous les traitements de canal et je demande aux patients de prendre la première dose généralement avant que l’anesthésie ne se termine (figure 2). Le raisonnement est le suivant : après la plupart des traitements de canal, une inflammation modérée est présente autour de la dent et dans les tissus osseux et parodontaux de soutien. Cette inflammation peut être atténuée en bloquant la production de médiateurs inflammatoires responsables de la douleur et de l’inflammation dans le sang, tels que la prostaglandine et le thromboxane A2, réduisant ainsi l’inflammation et la douleur au niveau du site local. Un autre facteur très important et souvent négligé – et qui, à mon avis, va de pair avec l’effet analgésique – est la force occlusale qui est appliquée sur la dent traitée après l’opération. En éliminant une telle pression occlusale, les structures de soutien de la dent déjà enflammées ont une chance de guérir sans être interrompues par l’occlusion et, par conséquent, de guérir potentiellement plus rapidement.

Figure 2
3. Sur quelles dents faites-vous le plus de traitements de canal, et pourquoi pensez-vous que ce sont les plus courantes ?
Au cours des deux dernières années, les canaux radiculaires les plus courants que j’effectue sont les molaires supérieures et inférieures, en particulier les secondes molaires. Je pense qu’il y a plusieurs raisons à cela. L’emplacement des dents, très en arrière dans les arcades supérieures et inférieures, rend leur accès difficile, surtout les secondes molaires supérieures. Cet accès difficile entraîne des difficultés pour négocier les canaux et effectuer le traitement de canal. Il y a des situations où le patient a une restauration complète existante qui rend la tâche particulièrement difficile, car les repères originaux de la dent ont disparu, et l’accès et la localisation des canaux reposent uniquement sur l’anatomie de la chambre pulpaire et l’expérience de l’opérateur. La molaire inférieure pourrait potentiellement être moins difficile, car vous avez l’avantage d’une vision directe et d’une limitation anatomique moindre pour une isolation correcte. Une autre raison pour laquelle la deuxième molaire est plus souvent traitée est qu’au cours de la vie de la dent, il y a plus de risques de dommages causés par la carie et l’accumulation de plaque. Le maintien de l’hygiène dans cette zone est plus difficile et nécessite plus d’attention ; il y a donc plus de chances qu’un traitement de canal soit effectué au cours de la vie de cette dent. Et n’oublions pas que ce sont les deuxièmes molaires qui me sont le plus souvent référées !
4. Vous avez déclaré auparavant que le retraitement de canaux radiculaires ayant échoué est le traitement le plus courant que vous effectuez. Pourquoi voyez-vous des endodonties ratées de la part des médecins généralistes, en particulier sur des canaux radiculaires qui semblent bons radiographiquement ?
Comme je l’ai déjà mentionné, je pense que l’aspect le plus important du traitement canalaire est le critère de sélection des cas par le praticien. Je pense que le généraliste qui choisit d’effectuer une procédure doit être bien conscient de ses limites et de ses compétences, ainsi que de ce qui est le mieux pour le patient. Plusieurs des raisons pour lesquelles nous constatons des échecs dans les canaux radiculaires réalisés par les médecins généralistes comprennent :
- Une quantité et un type d’irrigation inappropriés.
- Une mauvaise utilisation de la digue en caoutchouc et/ou une mauvaise isolation. Il est essentiel de garder la zone aussi stérile que possible.
- Sélection et utilisation incorrectes du matériel et des techniques d’obturation. Un matériau tel que le Thermafil est très sensible à la technique et s’il n’est pas utilisé correctement, il conduira certainement à l’échec du canal radiculaire. Une fois obturé, il peut sembler excellent sur la radiographie avec le matériau apparemment rempli jusqu’à l’apex, mais vous pourriez voir la présence d’une grande radiolucidité périapicale sur la radiographie dans un cas d’échec, ce qui pourrait indiquer une perte potentielle ou une absence de joint à l’apex.
LECTURE SUPPLÉMENTAIRE | Perspicacité endodontique : Où doit se terminer le point de gutta-percha pour un succès endodontique optimal ?
5. Quel est le temps moyen que vous passez à irriguer sur les molaires ? Est-il le même pour les maxillaires et les mandibulaires ?
L’irrigation est généralement effectuée tout au long du traitement, depuis l’accès et jusqu’au moment où l’obturation doit avoir lieu. Une irrigation finale est effectuée entre une et trois minutes avant l’obturation. J’aime aussi utiliser l’EDTA (acide éthylènediaminetétraacétique) de façon intermittente pour éliminer la couche de frottis et tous les débris non organiques qui se sont accumulés à la suite de la mise en forme et de l’instrumentation du canal. La quantité d’irrigation utilisée pour les parties supérieure et inférieure est la même que pour un canal radiculaire conventionnel. Dans les cas de retraitement, l’irrigation est plus longue en raison des solutions supplémentaires utilisées à la fin avant l’obturation.
6. Recommandez-vous l’allongement de la couronne avant ou après un traitement de canal, et pourquoi ?
À mon avis, l’allongement de la couronne devrait être fait après le traitement de canal. Il y a plusieurs raisons à cela. L’une d’elles est que, dans la plupart des cas, le traitement de canal détermine la possibilité ultime de sauver la dent et si une restauration appropriée peut être placée sans compromettre l’intégrité de la dent. La deuxième raison est la facilité du traitement. Une fois l’allongement de la couronne effectué, en raison de la nature du traitement et de l’importance de l’implication des tissus durs et mous, il faut jusqu’à 10 semaines pour obtenir une cicatrisation idéale avant de pouvoir appliquer à la dent ou aux structures environnantes toute contrainte supplémentaire, telle que la pose d’une digue en caoutchouc sur la dent ou le fait de demander au patient d’étirer ses joues pendant de longues périodes. Ce type de retard dans le traitement de canal d’une dent compromise peut potentiellement conduire à une défaillance complète de la dent et à un traumatisme supplémentaire dû à l’invasion bactérienne ou à la destruction de la structure de la dent sous l’effet de l’usure normale. Un autre facteur à prendre en compte est qu’en effectuant le traitement de canal après l’allongement de la couronne, les fibres de Sharpey nouvellement formées et l’attache du tissu conjonctif peuvent être soumises à un stress énorme par le clamp de la digue en caoutchouc, en particulier dans les situations où il n’y a pas de dent distale adjacente à utiliser comme ancrage du clamp. Ce type de stress peut conduire à des dommages supplémentaires du ligament parodontal (PDL) et des tissus conjonctifs nouvellement formés. (figure 3)

Figure 3
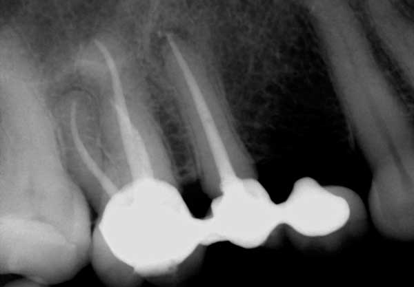
7. Pourquoi certaines pathologies périapicales (PAP) durent-elles plusieurs années après le traitement de canal ?
Certaines radiolucences périapicales (PARL) (figure 4) peuvent durer jusqu’à cinq ans après le traitement de canal. Un facteur qui contribue à la présence prolongée des PARL est la taille de la lésion initiale, de sorte que les lésions plus grandes ont tendance à durer plus longtemps et à guérir à un rythme plus lent. La localisation de la lésion est un autre facteur qui peut contribuer à cette guérison prolongée. Les lésions situées dans un os plus dense, comme la mandibule antérieure, ont tendance à guérir plus lentement que les lésions situées dans un os moins cortical, comme le maxillaire postérieur. Les antécédents médicaux du patient sont un autre facteur à prendre en considération dans de tels cas. Des études montrent que les patients diabétiques, en raison de la baisse de la fonction de leur système immunitaire, peuvent avoir besoin de plus de temps pour guérir. Certains des PAP qui ont tendance à durer peuvent également être des tissus cicatriciels dans l’os.

Figure 4
8. Quelle est l’importance de la préparation de l’accès, et quel(s) facteur(s) joue(nt) un rôle dans une bonne préparation de l’accès ?
L’ensemble de la procédure de canal radiculaire est une série d’étapes qui se succèdent dans un ordre très logique. Si chaque étape est bien réalisée, le résultat final sera atteint avec facilité et sans aucun stress. Ce processus commence par une cavité d’accès appropriée. L’obtention d’un accès idéal dépend de plusieurs facteurs. Les connaissances du clinicien sur l’anatomie de la chambre pulpaire, son expérience dans le traitement de cas présentant des anatomies inhabituelles, l’état de la dent avant l’accès (comme la quantité de structure dentaire intacte), la capacité à obtenir une ligne droite d’accès à chaque canal et l’emplacement de la dent par rapport aux autres dents sont quelques-uns des facteurs les plus importants à prendre en compte pour obtenir un accès idéal.
Référence
1. Baumgartner JC, Xia T. Sensibilité aux antibiotiques des bactéries associées aux abcès endodontiques. J Endod. 2003;29(1):44-47.
Cet article a d’abord été publié dans le bulletin d’information, DE’s Breakthrough Clinical avec Stacey Simmons, DDS. Abonnez-vous ici.
Moji Bagheri, DMD, est un endodontiste exerçant dans le comté d’Orange, en Californie. Il a obtenu son DMD en 2009 à la Goldman School of Dental Medicine de l’université de Boston et sa formation spécialisée en endodontie à l’université Rutgers en 2014. Il peut être joint à l’adresse [email protected].
Iman Sadri, DDS, est un dentiste cosmétique et blogueur exerçant en Californie du Sud. Il a obtenu son DDS en 2008 à la faculté de médecine dentaire de l’université de New York. Il peut être joint à l’adresse [email protected].
.
Laisser un commentaire