Hvad er den bedste materialetype til posteriore kroner?
On november 6, 2021 by adminQ: Tidligere var det nemt at foreslå en type posteriore krone til en patient. Jeg kunne foreslå støbe-guldlegering eller porcelæn-fused-to-metal. Nu kan jeg identificere mindst 10 typer kroner, som jeg kan vælge imellem. Ikke kun patienterne er forvirrede, men også jeg er det! Hvilken type materiale bør jeg rutinemæssigt foreslå patienterne til denne hyppigt forekommende procedure?
A: Du har ret – der findes mere end 10 typer kroner på nuværende tidspunkt, hvoraf nogle er velafprøvede, mens andre er nye på markedet. Følgende liste er opstillet i rækkefølge efter deres nuværende popularitet i USA og omfatter de fleste af de typer kroner, vi kan vælge imellem i dag:
1.Zirkonoxid (en meget forvirrende liste)
a. Fuldstyrkezirkonoxid (solid zirkonoxid (solid zirkonoxid, original BruxZir fra Glidewell Laboratories, første generations zirkonoxid, 3Y-zirkonoxid, andre mindre brugte navne samt ca. 50 mere ofte forvirrende varemærker)
b. Translucent zirconia (æstetisk zirconia, anterior zirconia, 7Y-zirconia, andengenerationszirconia, andre mindre anvendte navne, samt mange andre mærkenavne)
c. Andre forvirrende dobbeltnavne for translucent zirkonoxid (æstetisk zirkonoxid, 4Y-zirkonoxid, 5Y-zirkonoxid osv., tredje generation af zirkonoxid, andre mindre anvendte navne, samt mange varemærker)
d. Talrige andre formuleringer af zirconiumoxid under udvikling
2.Lithiumdisilikat
3.Fineret fuldstyrkezirconiumoxid (zirconiumoxidbaseret)
4.Porcelain-fused-to-metal
5.Lithium silikat
6.Cast-gold legering
7.Harpiks nano keramik (polymer)
Er det underligt, at du er forvirret? Ovenstående ufuldstændige liste er formidabel, og den vil sandsynligvis være forældet inden for et år efter offentliggørelsen af denne artikel.
Navnene på de forskellige zirkonoxidtyper er næsten umulige at skelne. Jeg foreslår, at den organiserede tandpleje straks gør en indsats for at identificere de typer zirkonoxidformuleringer, der skal tillades, så dentallaboratorier og praktiserende tandlæger kan vide, hvad de bruger. Som det er nu, er markedet for zirkonoxid fuldstændig forvirret og uforståeligt.

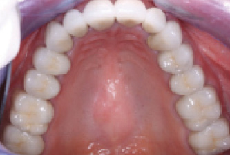
Figur 1: Kroner og faste proteserestaurationer af fuldzirkonoxid har nu været i brug i ca. 10 år. Deres servicerekord og optimale respons på blødt væv til dato er imponerende og gør dem potentielt til en udfordring for restaurationer af støbe-guldlegeringer.
Jeg vil komme med forslag til dig baseret på den aktuelle forskning, der er afsluttet eller undervejs i afdelingen Technologies in Restoratives and Caries Research (TRAC) i Clinicians Report Foundation og observationer fra private klinikere, der arbejder med instituttet. Jeg vil bruge numrene på de ovennævnte kronetyper til at diskutere dem.
1a. Den originale BruxZir har været på markedet i ca. 10 år (figur 1). Der er blevet anbragt millioner af disse restaurationer, og næsten alle almindelige tandlæger i USA har anvendt denne type zirkonoxidrestauration med bemærkelsesværdig succes. Baseret på avanceret forskning og kliniske observationer viser det sig, at denne originale type zirconiumoxid har gode resultater. Faktisk fungerer den ud fra et styrkeperspektiv bedre end nogen anden keramisk krone i tandplejens historie. I modsætning til hvad nogle prognostikere har forudsagt, slides den ikke modstående tænder, går ikke i stykker under brug og forårsager ikke irritation af tandkødet, og de nuværende generationer af zirkonoxid bliver bedre og bedre i udseende. Der er dog stadig begrænsninger i brugen af dette materiale. Medmindre farven ændres af kompetente laboratorieteknikere, skal BruxZir stadig forbedres yderligere med hensyn til æstetik, det er ekstremt vanskeligt at skære af, og mange zirkonoxidkroner går af under brug. I erkendelse af disse begrænsninger er denne type krone et valideret klinisk valg for dig.

Figur 2: IPS e.max-restaurationen på den første præmolar i dette billede kan ikke skelnes fra de naturlige tænder. Selv om disse kroners æstetiske skønhed er uden fortilfælde, har de mindre styrke end fuldstærke zirkonoxid- og porcelænsfused-to-metal-restaurationer, hvilket begrænser deres potentielle anvendelse i posteriore faste proteser og bruxers.
1b. De første forsøg på at modificere zirkonoxid ved at placere yderligere yttriumoxid og andre oxider i det har reduceret zirkonoxidets omdannelseshærdning i en sådan grad, at nogle få procent af dem bryder selv under den første indsættelse. Transformationstærskhed er den egenskab, der reducerer udbredelsen af revner i materialet. Den samlede styrke blev også reduceret med ca. halvdelen. I øjeblikket er nogle mærker af denne type zirkonoxid ved at blive taget af markedet.
1c og 1d. En let reduktion af mængden af oxider i zirconiumoxid fra niveauet i formuleringerne i 1b har mulighed for at forbedre æstetikken, uden at det ødelægger eller reducerer omdannelseshærdningen eller reducerer styrken betydeligt. Producenterne er nu i gang med omfattende forskning for at finde den rigtige kombination af ingredienser til zirconiumoxid, der kan bevare transformationstærskheden og stadig forbedre æstetikken i forhold til den originale BruxZir. Der er mange mærker under udvikling, og mindst et par stykker er nu tilgængelige (3M Lava Esthetic, BruxZir Esthetic og forskellige mærker fra Ivoclar Vivadent, Kuraray Noritake, Zahn Dental og andre). Disse zirkonoxidmaterialer ser lovende ud, og du bør overveje dem. Der er dog stadig både grundforskning og klinisk forskning i gang for at validere deres langsigtede kliniske acceptabilitet.

Figur 3: Restaurationer af porcelænsfused-to-metal har tjent faget og deres patienter godt siden slutningen af 1950’erne. Disse restaurationer anvendes stadig som den vigtigste posteriore krone for mange tandlæger, selv om de er aftagende i brug. Deres æstetiske levetid er ofte kompromitteret i løbet af nogle få år, efterhånden som glasuren og farven slides af, men deres generelle funktionelle levetid strækker sig i mange tilfælde over 20 år.
2. Litiumdisilikat. Der er ingen tvivl om, at dette materiale (IPS e.max, Ivoclar Vivadent) er den mest æstetiske og relativt stærke keramiske krone i tandplejens historie til dato (figur 2). I modsætning til den oprindelige zirkonoxid anvendes disse kroner dog hovedsageligt til enkelte enheder og anteriore faste proteser, som ikke kræver høj styrke. Materialet har været anvendt i mere end 10 år med succes. Det er en sikker restaurering til posteriore kroner, der ikke forventes at opleve tung okklusion, men forsigtighed tilrådes til patienter med åbenlys bruxisme eller misbrugte parafunktionelle forhold.
3. Veneereret fuldstyrke-zirkonoxid. De fleste af de oprindelige versioner af dette koncept, der blev introduceret for ca. 14 år siden, var ikke acceptable. Keramiklaget over zirconia-underkonstruktionen brød af, selv inden for det første år af brug. I dag har de fleste keramikvirksomheder overvundet denne udfordring. Det vellykkede resultat er normalt smukke enkeltkroner og i det mindste fastsiddende proteser med kort levetid. Kuraray Noritakes produkt, CZR Press, var førende på markedet med hensyn til at matche det eksterne fineringsmateriales egenskaber med den underliggende zirkonoxidbase og udvikle en type restaurering, der ikke gik i stykker under normal brug. For nogle anteriore faste proteser og kroner er dette koncept et godt valg i visse situationer. Det bliver imidlertid udfordret af nogle af de mere æstetiske nye former for zirkonoxid, der er beskrevet ovenfor.

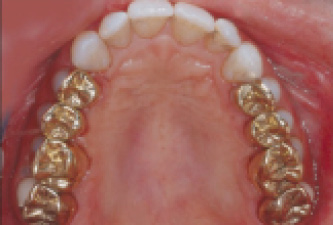
Figur 4: Restaurationer af støbe-guldlegering har vist sig at være uovertrufne til langtidstjeneste i den posteriore del af munden. Deres udseende har imidlertid gjort dem uacceptable for de fleste patienter, medmindre de er oplyst om disse restaureringers kendte langtidsholdbarhed. Lang levetid for velfremstillede og korrekt cementerede støbe-guldlegeringsrestaurationer kan ofte vare hele livet.
4. Porcelæns-fused-to-metal (PFM). Efter min mening er det ikke på tide at kassere dette 60 år gamle koncept (figur 3). Den åbenlyse kliniske succes, der er vist i disse år, viser, at denne type restaurering er levedygtig. De nyere typer af restaurationer giver endnu ikke mulighed for at anbringe præcisionstilhæftninger og stressbreakers, og mange klinikere har stadig ikke tillid til zirkonoxid i faste proteser med lang spændvidde. En relativt ny Glidewell-udvikling – placering af lithiumsilikat over metal – har i høj grad øget styrken af denne konventionelle type PFM-restauration. PFM er et gennemprøvet materiale, der stadig fungerer godt, men jeg forudser, at brugen af dette materiale fortsat vil blive mindre og mindre.
5. Litiumsilikat. Dette nyligt udviklede materiale anvendes i øjeblikket primært til PFM’er som nævnt ovenfor, men det er også tilgængeligt til fræsningsrestaurationer. Selv om der mangler langsigtet klinisk forskning, ser materialet ud til at fungere godt og fortjener din opmærksomhed til kroner, standard faste delproteser (FPD’er), FPD’er, der har brug for præcisionstilhæftninger eller spændingsbrydere, og faste proteser med lang spændvidde.
6. Støbe-guldlegering. Ja, støbe-guldlegering anvendes stadig af mange praktiserende tandlæger (figur 4). Der er ingen tvivl om, at det er “guldstandarden” med hensyn til lang levetid af restaurationer, men desværre er det æstetisk set uacceptabelt for de fleste patienter. Ved mine foredrag spørger jeg ofte, hvem i gruppen af tandlæger, der har restaureringer af guldlegeringer i munden. Procentdelen i en typisk gruppe er som regel omkring 20-30 %. Når jeg spørger, hvem der vil have det placeret igen, er svaret som regel et næsten enstemmigt ja. Det er indlysende, at denne type restaurering tjener godt, og det er også klart, at dens anvendelse langsomt er ved at dø ud på trods af dens overlegenhed i de fleste af dens egenskaber undtagen æstetik.
7. Resin nano keramik. Disse materialer er grundlæggende fyldte polymerprodukter, der ikke er ulig typiske harpiksbaserede kompositter. De har fået blandede anmeldelser blandt praktikere. Den største udfordring har været en betydelig debonding på op til 20 % eller mere for nogle af produkterne. Det er nødvendigt at løse dette problem, hvis tandlægerne skal fortsætte med at anvende nanoharpikseramiske materialer.
Sammenfatning og konklusioner
En sammenfatning af dette forvirrende emne er relativt let. Langtidsafprøvede produkter er porcelænsfused-to-metal og støbe-guldlegering. Kortvarigt (over flere år) gennemprøvede produkter er original BruxZir, lagdelt fuldstyrkezirkonoxid og IPS e.max. Produkter, der stadig er genstand for grundvidenskabelig in vitro- og klinisk in vivo-forskning, er de modificerede “æstetiske” zirkonoxidprodukter og lithiumsilikat. Koncepter, der kræver yderligere udvikling og forskning, er polymerer og nanokeramiske materialer af harpiks.
Author’s note: Der findes yderligere uddannelsesressourcer hos Practical Clinical Courses, hvoraf nogle har direkte relation til denne artikel:
To-dages kurser i Utah
- Making Endodontics Fun, Predictable, and Profitable med Dr. John West og Dr. Gordon Christensen
- Restorative Dentistry 2-Fixed Prosthodontics med Dr. John West og Dr. Gordon Christensen
- Restorative Dentistry 2-Fixed Prosthodontics med Dr. John West og Dr. Gordon Christensen
- Gordon Christensen
Et timers CE-videoer
- Foolproof, Fast Single-Crown Procedure (Item No. V1980)
- Kroner-Materialer og teknikker til de bedste resultater (Item No. V1987)
- Diagnose og behandling af svigtende implantater (varenr. V2391)
For yderligere oplysninger om disse uddannelsesprodukter kan du ringe på (800) 223-6569 eller besøge pccdental.com.
Skriv et svar